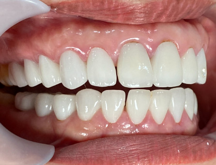
Nguyên nhân gây thưa răng sau làm thẩm mỹ răng sứ

Bài giảng được soạn thảo bởi đội ngũ Thư viện BiVa

Số trang: 13tr

TRẠNG THÁI: ĐÃ ĐĂNG TẢI

Đọc thử Đăng nhập

8 Nguyên nhân hay gặp gây ra tình trạng thưa kẽ sau làm răng sứ thẩm mỹ:

  1. Mất răng không được phục hồi lại
  2. Cản trở khớp cắn gây quá tải lực lên răng cửa
  3. Tật đẩy lưỡi
  4. Lưỡi to (macroglossia) hoặc lưỡi thấp (low tongue posture
  5. Răng không ổn định sau chỉnh nha
  6. Thói quen môi và má

  7. Dây thắng môi bám thấp
  8. Hình thể phục hình không tối ưu

Không có đánh giá nào cho sản phẩm này.

Viết đánh giá

Chú ý: Không sử dụng các định dạng HTML!
    Chưa tốt           Tốt

Sản phẩm liên quan (4)

© Copyright 2025-2026 Big Dental. Thiết kế bởi Zozo

Đăng ký nhận tin

Đăng ký email để nhanh chóng nhận được các thông báo về khuyến mại, chương trình giảm giá của chúng tôi

Địa chỉ

Big Dental

0396931640