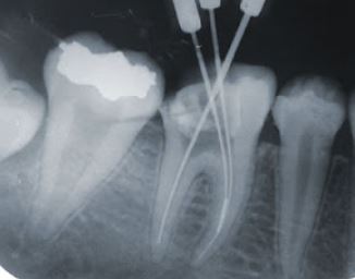
Gãy file và cách xử lý

Đọc thử Đăng nhập

NỘI DUNG

  • Giới thiệu
  • Tỷ lệ hiện mắc và tỷ lệ mắc mới
  • Các yếu tố liên quan đến răng
  • Các yếu tố liên quan đến dụng cụ
  • Các yếu tố liên quan đến người thao tác (bác sĩ)
  • Các yếu tố liên quan đến bệnh nhân
  • Phòng ngừa
  • Hình thái ống tủy
  • Sửa soạn dụng cụ
  • Mỏi uốn (flexural fatigue)
  • Mỏi xoắn (torsional fatigue)
  • Kỹ thuật tạo hình ống tủy
  • Mô-men xoắn (torque)
  • Tốc độ
  • Loại motor sử dụng
  • Khoang tiếp cận
  • Làm sạch và tiệt khuẩn
  • Tái sử dụng
  • Kỹ thuật thăm dò/khảo sát
  • Thiết kế mặt cắt ngang
  • Xử lý nhiệt
  • Mở loe trước (preflaring)
  • Trình tự sử dụng dụng cụ
  • Kích thước dụng cụ
  • Quy trình sản xuất
  • Xử trí
  • Tỷ lệ thành công của từng kỹ thuật
  • Các biến chứng liên quan
  • Bypass (đi vòng qua)
  • Để nguyên tại chỗ
  • Ảnh hưởng của nhiễm trùng ống tủy lên tiên lượng
  • Kết luận

Không có đánh giá nào cho sản phẩm này.

Viết đánh giá

Chú ý: Không sử dụng các định dạng HTML!
    Chưa tốt           Tốt

Sản phẩm liên quan (3)

© Copyright 2025-2026 Big Dental. Thiết kế bởi Zozo

Đăng ký nhận tin

Đăng ký email để nhanh chóng nhận được các thông báo về khuyến mại, chương trình giảm giá của chúng tôi

Địa chỉ

Big Dental

0396931640